宝宝要换牙,龋齿的危害就没了?错!龋齿科普别忽视
文丨宝宝说妈妈爱
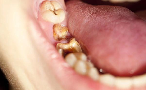
吴玥正在上初中一年级 , 她在没有换牙前 , 牙齿就一直不好 , 龋齿严重 。 平时没有咧嘴笑时倒看不出什么异样 , 当开口说话或者咧嘴笑时就会发现她的牙齿牙床部位很黑 , 牙缝也比较大 。 听她妈妈说吴玥小时候特别爱吃甜食 , 对于果冻、糖果几乎是无节制 , 吃完了也不爱刷牙 , 所以她的牙齿慢慢的就变成龋齿了 。 因为当时的吴玥还小 , 妈妈觉得迟早要换牙 , 就没有带她去看牙医处理那些龋齿 。 虽然现在已经过了换牙的年龄 , 小时候的蛀牙也掉了 , 牙齿的龋齿情况也改善了不少 , 但还是能看出来牙缝很大 , 而且牙齿不整齐 。
----宝宝要换牙 , 龋齿的危害就没了?错!龋齿科普别忽视//---- http:// //
家长们一定不要忽略乳牙龋齿对小孩子带来的危害 , 这几点你需要了解一下 。
1、影响生长发育
家长千万不要觉得孩子小时候的龋齿只是牙齿看上去不好看 , 换牙之后问题就会自动解决了 , 其是不然 , 当牙齿变成龋齿后 , 严重的话会导致牙龈出血疼痛 , 孩子在吃东西时有时就会显得比较吃力 , 这会大大降低孩子的咀嚼能力 。 若是痛得受不了 , 小孩子便不愿意进食 。 当身体得不到足够的营养时 , 就会影响正常的生长发育 。
2、脸部变形
如果牙齿不齐整或者是龋齿 , 它对脸部的发育肯定是有影响的 。 若是让牙齿早早的演化成龋齿 , 还容易造成恒牙错颌 , 面部的整体轮廓也会因此受到影响 。 如果不给予及时的治疗 , 还有可能引起恒牙的发育异常 。
3、引发口腔疾病
- 「母婴和育儿」原创宝宝鼻腔深处有鼻屎,尝试各种方法后,最后这样做成功了
- 「母婴和育儿」原创宝宝和大人睡?给宝宝睡婴儿床?到底哪个选择才是对的?
- 【小思妈妈营养餐】脆到开口跪,真鱼真虾,宝宝吃多少都放心!
- 晓露爸爸@原创“红脸宝宝”火了,两个脸蛋红的像苹果,网友:不会是喝奶喝醉了吧
- #宝宝树#疫情下的新生宝宝:出生14天吸引百万粉丝,笑一下400万人点赞~
- #萌宠治愈师#宝宝哭了柴犬马上跑过来看,头却卡在了栏杆中,狗:可望而不可及
- #宝宝呵护#宝宝晚上老是翻身睡不好,其实是身体里缺这个!
- 【鲲鹏创意气球】宝宝宴现场气球如何布置
- 「长脖子爸比」宝宝出生后医院为啥要留下一个脚印?医生可能不会说,但你要清楚
- 佳林母婴大世界■宝宝为什么晚上睡不稳觉?
